VIDEO. “No queremos quedarnos sentados de brazos cruzados”: ex estrella de la NBA revela lucha contra agresivo cáncer
El exjugador de Brooklyn fue diagnosticado con uno de los cánceres cerebrales más letales pero está decidido a dar la lucha.

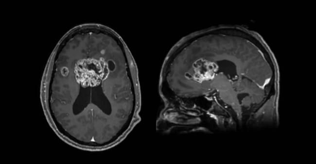
Getty Images
La NBA no se detiene y continúa con el apasionante desarrollo de su temporada regular 2025-26, ofreciéndonos interesantes partidos jornada a jornada con mucha emoción.
Pero no todas las noticias llegan desde dentro de la cacha ni de los jugadores actuales, ya que los basquetbolistas retirados también mantienen un foco importante de atención.
Bajo este contexto, hay una exestrella de la liga atraviesa momentos difíciles de salud y que hoy es ampliamente reconocido por llevar su bandera de lucha y resistencia.
Revisa también:

Se trata nada más y nada menos que de Jason Collins, quien hizo carrera en New Jersey (Nets), Memphis, Minnesota, Atlanta, Boston, Washington y se retiró en los Nets, cuando ya estaban en su etapa de Brooklyn en 2013.
Además, fue pionero en la visibilidad LGBTQ+ dentro del deporte de elite. Hoy, desde hace un tiempo, enfrenta un glioblastoma en fase 4, uno de los cánceres cerebrales más letales detectados.
Hoy, a sus 47 años, compartió en exclusiva con ESPN los detalles de su enfermedad y su decisión de buscar un tratamiento innovador en Singapur.

Jason Collins
Los primeros signos aparecieron el año pasado, con problemas de memoria que impedían tareas simples como hacer las maletas al momentos de un viaje.
“Empecé a ser muy olvidadizo. Por ejemplo, me sentaba en una habitación y no me daba cuenta de cuánto tiempo llevaba allí”, relató, evidenciando que incluso perdía la noción del tiempo.
Su esposo, Brunson Green, recordó el hallazgo en urgencias: “Fuimos a urgencias y en cinco minutos nos dijeron que tenía un bulto del tamaño de una pelota de béisbol en medio del cráneo”.

El glioblastoma, descrito por el propio Collins como “una mariposa que prácticamente lo invadió todo”, se expandió con rapidez, complejizando rápidamente las cosas y dejando poco tiempo de reacción.
Tras radioterapia, el tumor duplicó su tamaño en dos o tres semanas, pese a un pronóstico estándar de 11 a 14 meses de supervivencia, siendo un remezón para la familia.
“El plazo que dieron fue: ‘Si no haces nada, te quedan entre seis semanas y tres meses de vida’”, explicó Jason, rechazando la pasividad ante la enfermedad inoperable.
Apuesta por terapia experimental
El exjugador viajó a Singapur para un tratamiento con nanocélulas EDV durante siete u ocho semanas, aprobado en 48 horas.
“No queremos quedarnos sentados esperando de brazos cruzados, por eso vamos a viajar al extranjero para dar el siguiente paso”, aseguró.
“Vamos a realizar una quimioterapia experimental en la que se administran una nanocélula llamada EDV, que básicamente es como un ‘Caballo de Troya’“, precisó.
“Se le añade un tipo especial de fármaco quimioterapéutico que normalmente no puede atravesar la barrera hematoencefálica”, detalló. Su meta, según expuso, es ganar tiempo para una inmunoterapia personalizada, priorizando avances futuros.
Sigue a ADN.cl en Google Discover
Recibe nuestros contenidos directamente en tu feed.























