La enfermedad que llena de larvas el cerebro de las personas más pobres
"Tenía miles de quistes. No he visto algo así en toda mi carrera", aseguró el doctor tratante de un joven de 18 años en Faridabad.

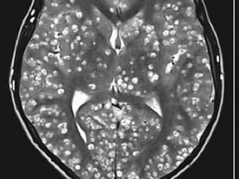
El Instituto Médico ESIC de Faridabad recibió a un joven de 18 años con espasmos, dolores de cabeza y malestar constante en su ingle. Los exámenes detectaron inflamación en el ojo izquierdo y una sensibilidad inusual en el testículo derecho. Una resonancia magnética mostró un cerebro plagado de larvas.
El doctor Nishanth Dev explicó al diario Indian Express que "vimos que lo tenía lleno de gusanos. Una ecografía del ojo demostró que estaba infestado. Estudios posteriores revelaron que también los tenía en los testículos". El paciente murió a las semanas a causa de una neurocisticercosis masiva.
"Tenía miles de quistes. No he visto algo así en toda mi carrera", dijo Dev. Por esta razón el médico su colega S. Zafar Abbas publicaron el caso en la New England Journal of Medicine. El hecho ocurrió hace cuatro años, pero la infección expone el problema sanitario ante una enfermedad común en países pobres.
La neurocisticercosis es una enfermedad del sistema nervioso central causada por la Taenia solium, el mismo parásito que da lugar a la tenia intestinal. La OMS advierte que la infección deriva de la ingestión de huevos del parásito localizados en alimentos contaminados o de agua contaminada por la solitaria o en condiciones sin higiene.
Informa El País que la neurocisticercosis afecta a entre tres y ocho millones de pacientes en el mundo y genera a lo menos 50.000 muertes anuales. Es endémica en el sur y sureste asiático, pero también supone un problema para los países latinoamericanos y se informa de su incipiente transmisión en países de la región de África subsahariana.

Sigue a ADN.cl en Google Discover
Recibe nuestros contenidos directamente en tu feed.























